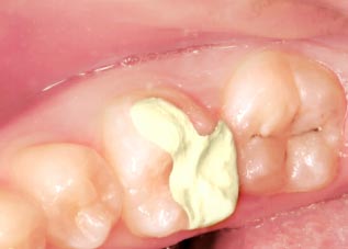
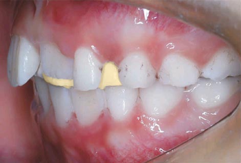
儿童乳牙修复解决方案

嵌体、冠、间隙保护器、个性化矫治器等

Bio PAKE性能优势:

  • 美观性佳,具有良好的生物相容性,不产生过敏反应;
  • 具有良好的边缘密合性;
  • 具有接近天然牙的强度,对天然牙无磨损,保护天然牙。

Bio PAKE优势:

  • 舒适、美观,保护天然牙健康安全。
  • toolbar