-
2025年AEEDC迪拜国际口腔展览会圆满落幕!作为全球第二大、中东地区最具影响力的牙科盛会,本届展会以“教育与创新转移”为主题,吸引了数万名来自世界各地的牙科专业人士、行业领袖及知名企业齐聚一堂,共襄盛举。 登泰克牙科材料有限公司携最新产品及技术解决方案亮相此次展会,与全球同行交流学习,共话牙科行业未来发展趋势。在这场汇聚全球牙科智慧的迪拜口腔展上,登泰克满载而归。作为中东、北非及南亚地区首屈一指,全球排名第二的牙科盛会,迪拜口腔展吸引了数万名来自不同牙科领域的专业人士、牙科设备用品制造商、经销商以及业界权威。 展会期间,登泰克展台吸引了众多业内人士驻足参观,咨询洽谈,进一步提升了登泰克品牌在中东及全球市场的知名度和影响力。 本次参展,我们精心展示了多款自主研发的创新产品及技术解决方案,涵盖了口腔修复临床端与技工端等多个领域,每一款都吸引了众多参观者驻足交流。他们对登泰克产品的工艺、性能表现出浓厚兴趣,不少专业人士当场就与我们的技术团队展开深入交流,探讨产品在实际临床应用中的优势和前...
-
12月1日-4日吉林省登泰克牙科材料有限公司在美国纽约口腔牙科展览会上精彩亮相。此次参展,是登泰克公司积极拓展国际市场、展现企业实力的重要举措。 美国纽约牙科及口腔医学展览会GNYDM是北美地区牙科和口腔医学展览会之一,也是牙科行业的重要盛会之一。展会面积:30000平米,参展观众:53481人,参展商数量及参展品牌达到886家。该展览会每年举办一次,吸引了来自世界各地的牙科医生、牙科技术人员、牙科器械和用品制造商、经销商以及相关行业的专业人士参展和参观。GNYDM展览会主要展示各种牙科器械和用品产品,包括牙科设备、牙科材料、牙科技术产品、口腔卫生产品等。此外,展览会还展示了最新的牙科技术和治疗方法,促进了牙科行业的发展和创新。 登泰克牙科材料有限公司此次参展,带来了其最新的牙科材料产品和创新技术。在展览会上,登泰克通过全系列产品的展示,全方位展示一站式口腔修复解决方案。在全系列产品中,填充修复系列、粘接系列、美学...
-
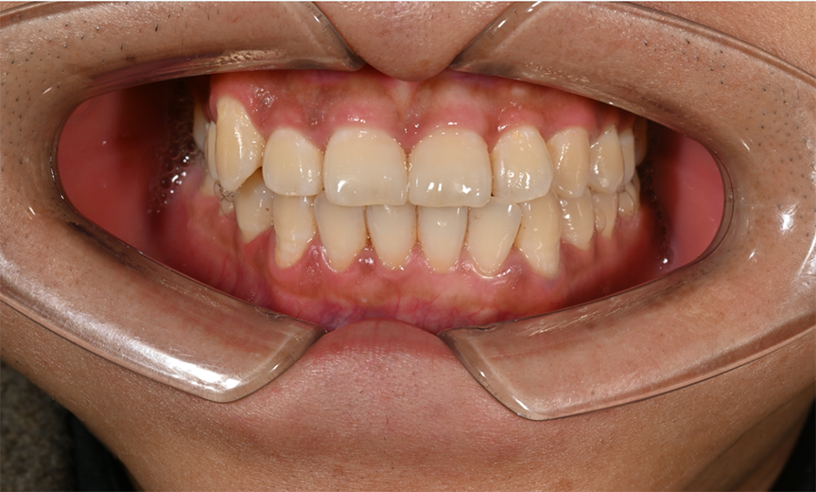
病例信息 患者姓名:郭某,男,28岁 主诉:前牙有缝,要求关闭间隙 现病史:患者因正畸后未长时间佩戴保持器,现前牙又出现了间隙,想用微创的方式关闭间隙解决美观问题 既往史:正畸治疗史 检查:前牙11,21之间见1mm间隙,切端不齐,余未见异常 治疗方案:11,21不预备玻璃陶瓷瓷贴面修复 处置:全口取模,比色A2 术前准备 针对前牙有间隙,牙齿轻微不齐,颜色正常的这种病例,想要通过微创的方式进行修复,微贴面往往会做出更理想的美学效果。 首先我们对贴面进行了试戴(包括模型上试戴和基牙上试戴),确定贴面完全就位没有缝隙,...
-
11月,登泰克在韶关、天津、邯郸、鄂尔多斯、包头、呼和浩特、永州等多个城市,开展全新瓷贴面美学粘接课程,吸引了众多口腔医生的积极参与。在此,我们衷心感谢每一位参与课程的学员们,是大家的积极参与和宝贵认可,让多地课程得以成功举办,好评不断。 登泰克·全新瓷贴面美学粘接课程旨在提升口腔医师们在瓷贴面美学粘接方面的理论知识和临床操作技能。课程内容分为理论讲解和实操演练两大环节,确保每位参与者都能全面掌握瓷贴面美学粘接的精髓。 理论环节 在理论环节中,我们邀请了业内团队专家深度分解理论知识,简明扼要的对瓷贴面美学的定义、设计方案进行了划分与讲解,同时对贴面临床操作过程进行了详细解读。通过这一环节,让学员们对瓷贴面美学粘接技术有了更为系统和全面的认识。 实操环节 实操环节是本次课程的亮点之一。我们为每位参与者提供了实际操作的机会,通过模拟临床环境,让牙医老师们亲手进行瓷贴面的粘接操作...
-
《吉林新闻联播》登泰克用自主创新打造百姓“一口好牙” 登泰克荣登吉林省新闻联播,这是对我司团队努力和成就的极大认可。我们始终坚信,只有通过不断的积累和创新,才能在激烈的市场竞争中站稳脚跟,才能为口腔修复领域提供全方位解决方案。 积淀铸就专业,创新引领未来。这不仅是对我们过往努力的肯定,更是对未来发展的激励。我们深知,专业是我们的立身之本,积淀是我们的宝贵财富。多年来,我们不断深化技术研究,积累行业经验,培养专业人才,形成了一套完善的管理体系和专业的技术团队。 同时,我们也坚信创新是企业发展的不竭动力。在快速变化的市场环境中,我们始终保持敏锐的洞察力,积极开发新产品,不断探索新领域,以创新的思维和行动,推动产品和服务的持续升级,满足客户日益增长的需求。 登泰克将持续努力,完善“登泰克”的品牌建设,将持续深耕牙科修复材料领域,积极推动数字化3D技术、椅旁即刻修复技术等先进技术的发展,为国内口腔行...





